مركز السعادة
مركزنا يمنحك ابتسامة مشرقة لتصل الى الثقة الكاملة بنفسك والقبول عند الاخر، نحن هنا بافضل التقنيات والالات الحديثة لتحقيق حلمك باحترافية ومهنية كبيرة وباقل الاسعار الممكنة مقارنة بالمنافسين
احصل على خدماتنا بافضل الاسعار
جراحة الاسنان
الجذور العصبية: يتم إزالة العصب من الأسنان التي تعاني من التهاب العصب ويتم حشو الفجوة بمادة معينة
تقويم الاسنان
يتم استخدام تقويم الأسنان لتصحيح الأسنان الملتوية أو الخارجة للحصول على ابتسامة متوازنة تعطي ثقة اغكثر
تركيب الاسنان
زراعة السن بعد استئصال السن المفقود لتعويضه بواحد جديد ليصبح في ملكيتك كانه سنك تماما ولن تميزه عن الباقية.
علاج الاسنان
تنظيف الأسنان واللثة بشكل دوري لإزال الجير والبلاك المتراكم عليها والمسؤول عن الكثير من المشاكل الصحية
خدماتنا
استمتع بتجربة فريدة تجمع بين الدقة الطبية والرعاية الشخصية، لتحقيق أفضل نتائج لصحة فمك وجاذبيتك الفريدة.اكتسب ابتسامة مشرقة وصحة فم مثالية من خلال خدمات طب الأسنان الخاصة بنا و المتميزة.
من نحن
نحن مجموعة من الخبراء واطباء المتخصصين في مجال جراحة الاسنان والتجميل نعمل معًا دون ملل او كل كفريق واحد لتقديم حلول مبتكرة ومتطورة لعملائنا.
نحن نؤمن بأن فهم احتياجات العملاء وإنتاج حلول مصممة خصيصًا لتلبية تلك الاحتياجات هو ما يجعلنا اكثر تميزًا عن الآخرين. نحن نهدف لتحقيق النتائج الممتازة وتقديم قيمة لعملائنا من خلال منح حياة بابتسامة اجمل.
التكنولوجيا وانظمة العلاج





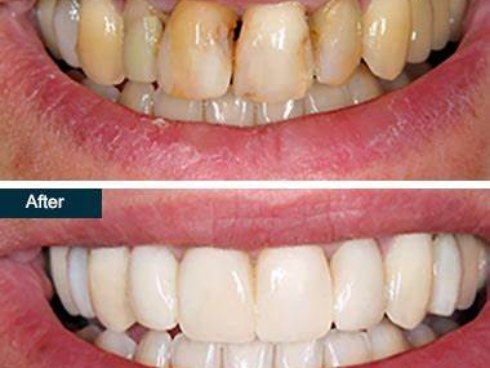
اعمالنا
تفحص احدث العمليات التي قمنا بها في 2024 لبعض عملائنا والتي كللت بالنجاح باستعمال ادوات متطورة جدا والتي توفر كل الامان اللازم لصحتك، وبشهادات عملائنا

محمد كمال
خبير في علاج الاسنان

عبد الوافي
خبير تقويم الأسنان

نوال الصافي
خبيرة تركيب اسنان

مصطفى رشدي
خبير جراحة الاسنان
التقي بالفريق الطبي
نحن نتطلع إلى العمل معك ولإظهار كيف يمكن لفريقنا المؤهل تحقيق نتائج مذهلة ستسعدك حتما عندما ننتهي من رسم ابتسامتك الرائعة، ولن تخاف بعد الان من اظهار اسنانك للعالم. ولدينا هنا فريق من خيرة الاطباء ، كل حسب تخصصه ويمكنك التواصل مع فريقنا والاستفسار عن حالتك مجانا.
المدونة
نقدم لك محتوى مفيد ومحدث لتعزيز نمط حياتك الصحي والحفاظ على ابتسامة جميلة. تابعنا لمعرفة المزيد حول عالم طب الأسنان والنصائح اليومية للعناية بصحتك الفموية.
اسماء
عماد







