
صورة لبعض لشابة تم تنظيف اسنانها بنجاح
خدمة التنظيف
قدم مركزنا في الجناح الخاص “بتنظيف الأسنان المتميز” خدمات تنظيف الأسنان عالية الجودة للعملاء منذ عام 2005. ويستخدم مركزنا أحدث التقنيات والأدوات في معالجة وتنظيف الأسنان، بما في ذلك الأشعة السينية الرقمية وأدوات النظافة المتقدمة.
كما يوفر المركز خيارات مختلفة للمرضى، بما في ذلك جلسات تنظيف الأسنان العادية والتخدير الموضعي للمرضى الذين يعانون من الألم. ويعمل على تلبية احتياجات كل مريض وتصميم خطة تنظيف الأسنان المخصصة لأهدافهم المحددة.
تتمتع الشركة بمجموعة واسعة من العملاء، بما في ذلك الأفراد، المدارس، وبعض الشركات الكبرى. وقد حققت الشركة سمعة رائعة في المنطقة، وتستمر في إثبات أنها خيار رائع لخدمات تنظيف الأسنان عالية الجودة.

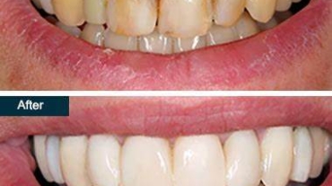
صورة اخرى لعملية تنظيف الاسنان باستعمال احدث الوسائل لشابة تعرضت اسنانها لتسوس حاد مما ادى اللى اصابة اللثة التي قمنا بدورها بعلاجها
قدمت شركة “تنظيف الأسنان المتميز” خدمات تنظيف الأسنان عالية الجودة للعملاء منذ عام 2005. وتستخدم الشركة أحدث التقنيات والأدوات في معالجة وتنظيف الأسنان، بما في ذلك الأشعة السينية الرقمية وأدوات النظافة المتقدمة.
الادوات التي نستعملها جد متقدمة




