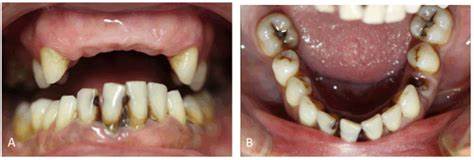
تقويم الأسنان هو فرع من فروع طب الأسنان ويتم حل مشاكل الأسنان والفكين واللثة. يتم استخدام تقنيات وأدوات مختلفة خلال العلاج من أجل تحريك الأسنان وإعادة توجيه الفكين وتحسين صحة اللثة. يعالج تقويم الأسنان الأوضاع الشاذة للأسنان، مثل غضروف الفكين.
والفكين الصغيرة (حيث لا تتسع الأسنان بشكل صحيح في الفكين)، والأسنان الملتوية، وتقويم الفروق الكبيرة بين الأسنان. يعتمد العلاج بتقويم الأسنان على تاريخ وحالة المرضى وفي بعض الحالات يتم ارتداء الأقواس والأجهزة المتنوعة لمدة تصل إلى عدة سنوات.




والفكين الصغيرة (حيث لا تتسع الأسنان بشكل صحيح في الفكين)، والأسنان الملتوية، وتقويم الفروق الكبيرة بين الأسنان. يعتمد العلاج بتقويم الأسنان على تاريخ وحالة المرضى وفي بعض الحالات يتم ارتداء الأقواس والأجهزة المتنوعة لمدة تصل إلى عدة سنوات
والفكين الصغيرة (حيث لا تتسع الأسنان بشكل صحيح في الفكين)، والأسنان الملتوية، وتقويم الفروق الكبيرة بين الأسنان. يعتمد العلاج بتقويم الأسنان على تاريخ وحالة المرضى وفي بعض الحالات يتم ارتداء الأقواس والأجهزة المتنوعة لمدة تصل إلى عدة سنوات.
والفكين الصغيرة (حيث لا تتسع الأسنان بشكل صحيح في الفكين)، والأسنان الملتوية، وتقويم الفروق الكبيرة بين الأسنان. يعتمد العلاج بتقويم الأسنان على تاريخ وحالة المرضى وفي بعض الحالات يتم ارتداء الأقواس والمتنوعة

والفكين الصغيرة (حيث لا تتسع الأسنان بشكل صحيح في الفكين)، والأسنان الملتوية، وتقويم الفروق الكبيرة بين الأسنان. يعتمد العلاج بتقويم الأسنان على تاريخ وحالة المرضى وفي بعض الحالات يتم ارتداء الأقواس والأجهزة المتنوعة لمدة تصل إلى عدة سنوات.
والفكين الصغيرة (حيث لا تتسع الأسنان بشكل صحيح في الفكين)، والأسنان الملتوية، وتقويم الفروق الكبيرة بين الأسنان. يعتمد العلاج بتقويم الأسنان على تاريخ وحالة المرضى وفي بعض الحالات يتم ارتداء الأقواس والأجهزة المتنوعة لمدة تصل إلى عدة سنوات.



